治療実績

診療時間

9:00-12:30 × ×
15:00-19:00 × × ×

〒721-0961 広島県福山市明神町1-5-41MAP

※初めてお越しの方・保険証を変更された方は、
カルテ準備のため予約時間の5分~10分前にお越しください。

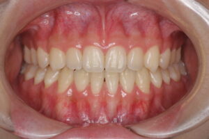
かみ合わせがひどくなってきた

N.Rさん 女性】 初診時年齢 10歳代
1.主訴
かみ合わせがひどくなってきた
2.主な症状
開咬 下顎の右側偏位
3.抜歯部位
上下左右の第3大臼歯(親知らず)
4.装置
マルチブラケット装置
5.装置の装着期間
1年9か月
6.リスク・副作用
ワイヤーと顎間ゴムの力によって歯が動きます。動き始めの数日間、歯に痛みを生じることがあります。痛みの感じ方には個人差があります。顎間ゴムの協力が得られないと完治しません。
「一般的なリスク・副作用」についてはリスクについてコチラをご覧ください。
7.主な治療費用(検査料・診断料・装置料)
80万(税別)