インフォメーション

診療時間

9:00-12:30 × ×
15:00-19:00 × × ×

〒721-0961 広島県福山市明神町1-5-41MAP

※初めてお越しの方・保険証を変更された方は、
カルテ準備のため予約時間の5分~10分前にお越しください。

お知らせ

こどもの矯正治療

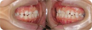
お知らせ

こどもの矯正治療

S.Kさん 前歯が乳歯から永久歯に生え変わりの時期 永久歯の生える場所がない!ということで矯正相談に…

今日も元気に診療中!

お知らせ

今日も元気に診療中!

2月16日 曇りの天気ですが 明神歯科は元気に診療していますよ 今週も頑張っていきましょう &nbs…

MEAWな矯正仲間~T.Kさんワイヤー装着して1年~

お知らせ

MEAWな矯正仲間~T.Kさんワイヤー装着して1年~

T.Kさん 去年の1月にMEAWを装着しました 1年が経過しましたね 今日はチェックで来院 かみ合わ…

MEAWな矯正仲間~まもなくワイヤーはずします~

お知らせ

MEAWな矯正仲間~まもなくワイヤーはずします~

Y.Hさん 出っ歯を気になるけど小臼歯は抜きたくないということで来院 現在、MEAW装着期間14か月…

MEAWな矯正仲間にぜひ参加して

お知らせ

MEAWな矯正仲間にぜひ参加して

永久歯を対象にした明神歯科の矯正治療   マルチループワイヤー(MEAW)あるいは ゴムメ…

1 2 3 8