受け口が気になる
【N.Yさん 女性】 初診時年齢 20歳代
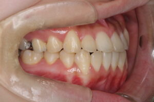
1.主訴
受け口が気になる
2.主な症状
下顎前突(受け口)
3.抜歯部位
上下左右の第3大臼歯(親知らず)
4.装置
マルチブラケット装置
5.装置の装着期間
1年7か月
6.リスク・副作用
ワイヤーと顎間ゴムの力によって歯が動きます。動き始めの数日間、歯に痛みを生じることがあります。痛みの感じ方には個人差があります。顎間ゴムの協力が得られないと完治しません。
「一般的なリスク・副作用」についてはリスクについてコチラをご覧ください。
7.主な治療費用(検査料・診断料・装置料)
80万(税別)
- 初診時(右)
- 初診時(正面)
- 初診時(左)
- 治療中(右)
- 治療中(正面)
- 治療中(左)
- 終了時(右)
- 終了時(正面)
- 終了時(左)
- 終了から2年経過(右)
- 終了から2年経過(正面)
- 終了から2年経過(左)