矯正治療

診療時間

9:00-12:30 × ×
15:00-19:00 × × ×

〒721-0961 広島県福山市明神町1-5-41MAP

※初めてお越しの方・保険証を変更された方は、
カルテ準備のため予約時間の5分~10分前にお越しください。

治療実績

※治療には個人差がありますのであくまでも参考程度にお考えください。
詳細はお気軽にお問い合わせください。

出っ歯が気になる

出っ歯

出っ歯が気になる

【I.Rさん 女性】 初診時年齢 10歳代

かみ合わせが気になる

出っ歯

かみ合わせが気になる

【O.Mさん 女性】 初診時年齢 10歳代

出っ歯 前歯がガタガタしている

出っ歯

出っ歯 前歯がガタガタしている

【K.Rさん 女性】 初診時年齢 20歳代

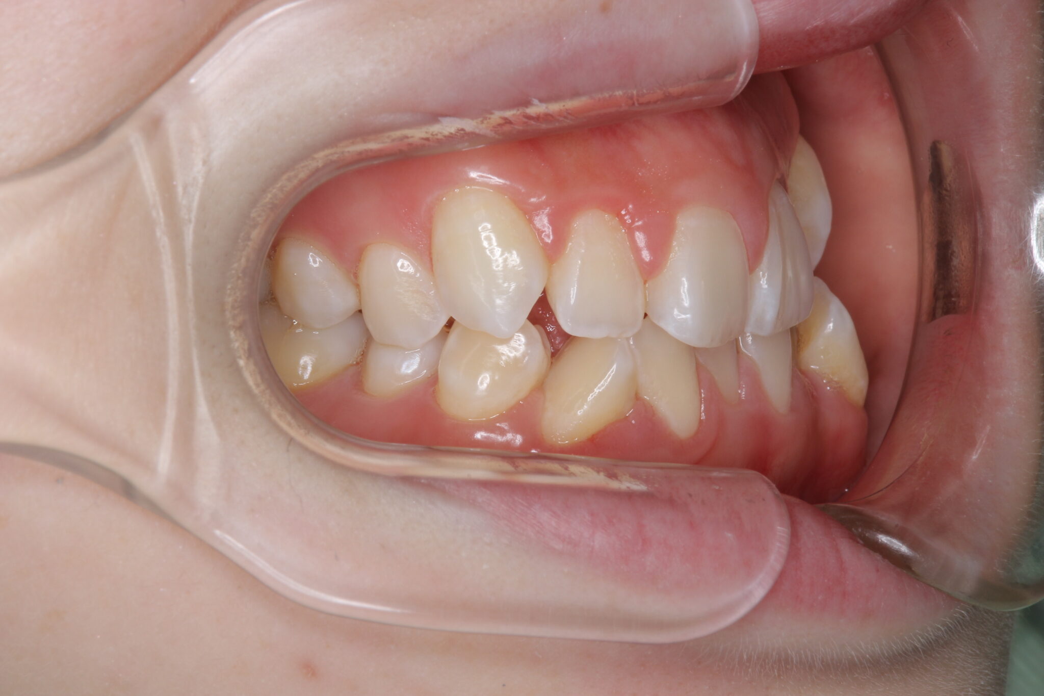
ガタガタな歯並びが気になる

叢生(ガタガタ)

ガタガタな歯並びが気になる

【K.Rさん 女性】初診時年齢:20歳代

かみ合わせが気になる

下顎前突

かみ合わせが気になる

【K.Mさん 女性】 初診時年齢 10歳代