前歯で噛みきれない

【K.Sさん 女性】初診時年齢:20歳代

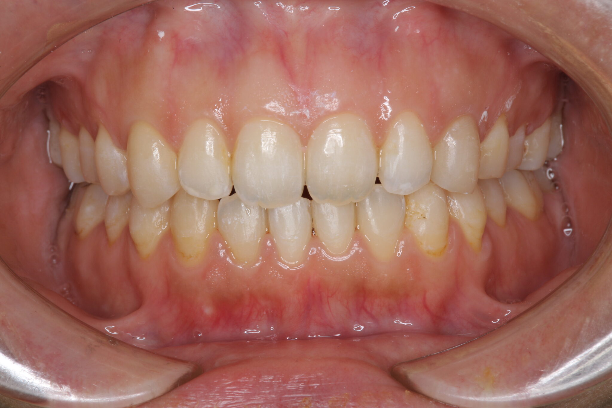
1.主訴
前歯で噛みきれない
2.主な症状
大臼歯だけで噛み合っているが前歯ではかみ合っていない
下顎の後退を伴う開咬
下顎機能検査から開閉口運動は左右側とも直線的で運動距離が短い
.抜歯部位
上下顎第三大臼歯(親知らず)
4.装置
マルチブラケット装置
5.装置の装着期間
1年7か月
6.リスク・副作用
ワイヤーを調整して歯を動かすときに痛みを伴います。痛みの感じ方には個人差があります。顎間ゴムの協力が得られない場合完治しません。
歯を動かした後の長期の保定が重要になります。
「一般的なリスク・副作用」についてはコチラをご覧ください。
7.主な治療費用(検査料・診断料・装置料)
70万(税別)