八重歯と出っ歯が気になる

【H.Yさん 女性】初診時年齢:20歳代

1.主訴
八重歯と出っ歯が気になる
2.主な症状
顎機能検査では顆路傾斜角が急峻で、滑走運動、回転滑走運動ともに運動距離が長い。顎関節のルーズさを疑わせるII級骨格の特徴的な波形を示す。
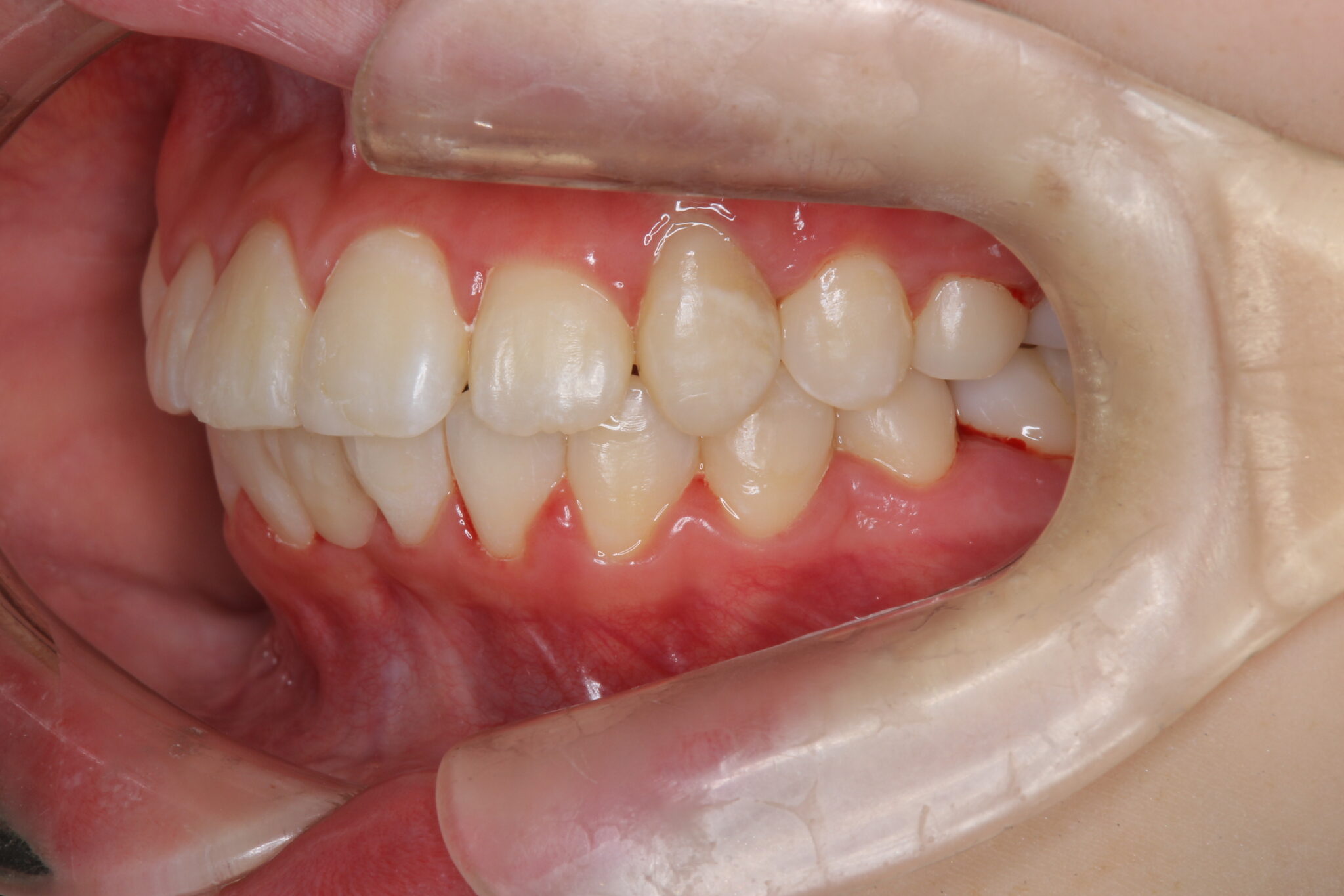
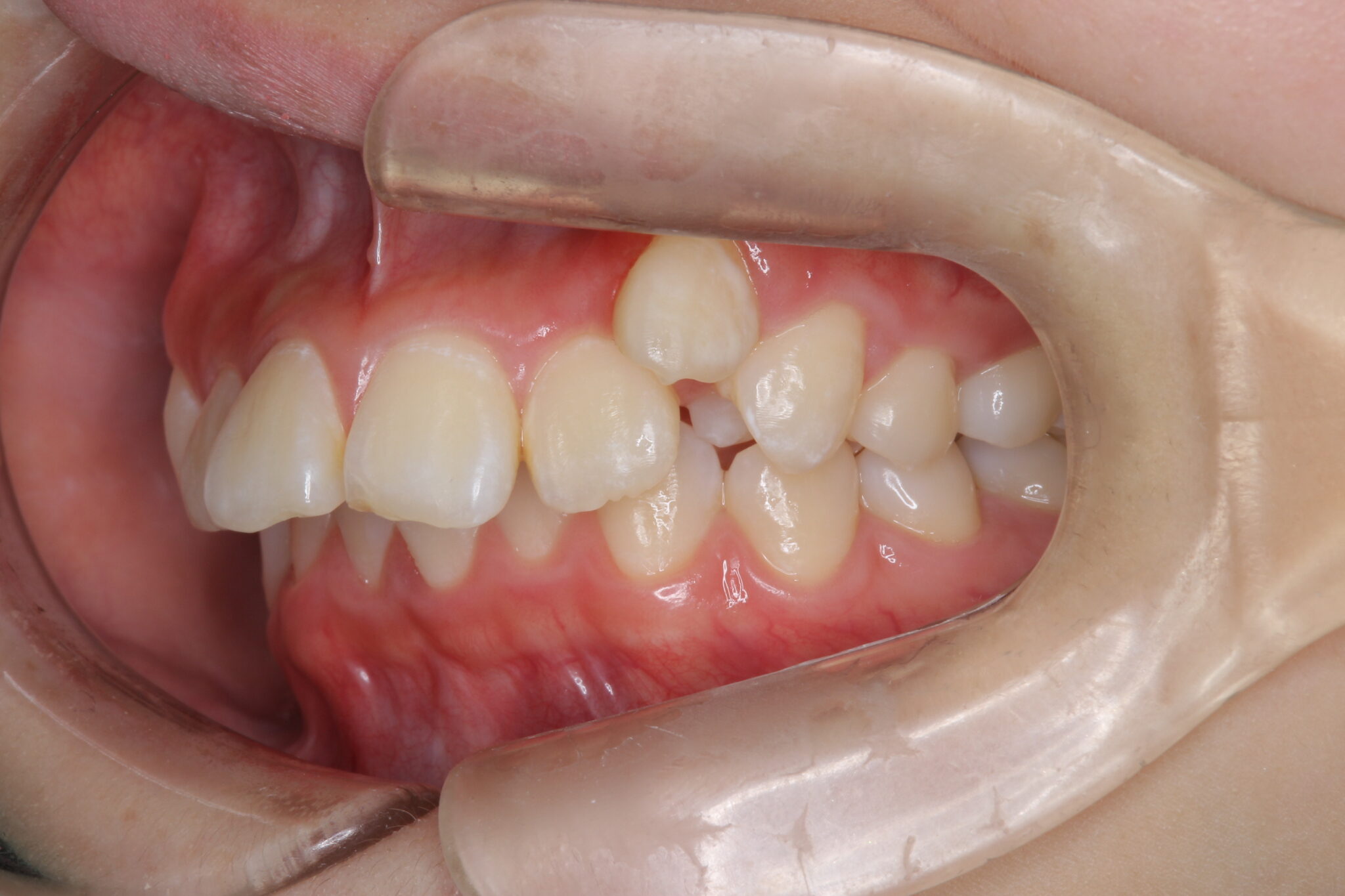
形態的には上顎前突(出っ歯)の骨格
上顎左側の犬歯は低位唇側転位している(八重歯)
下顎前歯は1本欠損した3前歯の状態
.抜歯部位
上下顎第三大臼歯(親知らず)
4.装置
マルチブラケット装置
5.装置の装着期間
1年9か月
6.リスク・副作用
顎機能検査の結果から、咬合高径の低下によって顎関節部にさらなる負荷が加わらないようにワイヤーを調整する必要があり、顎間ゴムの協力が不可欠になります。歯を動かすときに痛みを伴いますが、痛みの感じ方には個人差があります。歯を動かした後の長期保定が重要になります。
「一般的なリスク・副作用」についてはコチラをご覧ください。
7.主な治療費用(検査料・診断料・装置料)
70万(税別)